Nhiều người bệnh ho dai dẳng kèm theo đó có các biểu hiện khò khè, khó thở đến khi bệnh nặng không ngủ được, khó thở phải ngồi chồm ra trước mới cảm thấy dễ chịu… đi khám các bác sĩ kết luận u trung thất phát triển chèn ép khí quản, tĩnh mạch chủ trên và tổn thương xâm lấn các cơ quan lân cận…
Chính vì vậy, việc phát hiện sớm các biểu hiện u trung thất là vô cùng quan trọng.
1.Tổng quan về u trung thất
Trung thất là một khoang được giới hạn bởi hai phổi ở hai bên, cột sống phía sau, xương ức và sụn sườn phía trước, phía trên là nền cổ, dưới là cơ hoành. U trung thất là khối u nguyên phát hoặc thứ phát ở vùng trung thất, có thể lành tính hoặc ác tính. Ung thư biểu mô tuyến ức và carcinoid tuyến ức là những khối u ác tính hiếm gặp với xu hướng xâm lấn tại chỗ và di căn xa.
U trung thất thường không có triệu chứng, có thể tiến triển một cách âm thầm, lớn dần, chèn ép hoặc xâm lấn các cấu trúc quan trọng lân cận như tim, phổi, mạch máu lớn, nếu điều trị trễ có thể nguy hiểm tính mạng bệnh nhân. Người dân nên đi khám sức khỏe định kỳ khi cần thiết sẽ được bác sĩ chỉ định chụp X-quang tim phổi thẳng hoặc CT scan ngực để phát hiện u trung thất sớm.
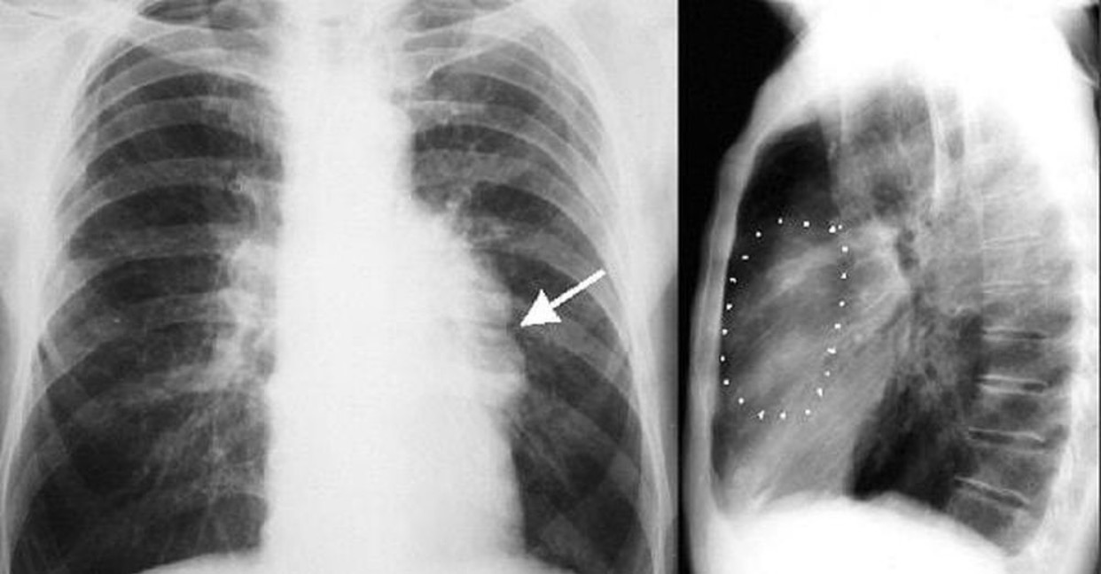
Hình ảnh u trung thất trên phim X quang của bệnh nhân
2. Nguyên nhân dẫn đến u trung thất
Có nhiều nguyên nhân dẫn đến u trung thất phụ thuộc vào nơi khối u xuất hiện. Nếu ở khu trước của trung thất thường gặp là u Lymphoma – khối u ác tính bao gồm cả bệnh Hodgkin và không Hodgkin; Thymoma (u tuyến ức) và u nang tuyến ức. ..
Nếu ở khu giữa của trung thất thường gặp là u nang phế quản (u lành tính gặp trong hệ hô hấp). Hạch lympho trung thất, hoặc phì đại các hạch bạch huyết. Nang màng ngoài tim (sự phát triển lành tính trên màng tim). Các khối u khí quản (thường là tăng trưởng lành tính). Bất thường về mạch máu như phình hay bóc tách động mạch chủ.
Nếu ở khu sau của trung thất thường gặp là hạch trung thất. Khối u thần kinh trung thất (tế bào ung thư của thần kinh). U nang thần kinh trung thất (một nguyên nhân hiếm gặp liên quan đến hệ thống thần kinh và hệ thống tiêu hóa).
3. Dấu hiệu nhận biết u trung thất
U trung thất giai đoạn đầu thường có một số triệu chứng như ho, đau ngực... nhưng rất mơ hồ, giai đoạn này chủ yếu bệnh nhân phát hiện bệnh khi đi khám sức khỏe định kỳ. Giai đoạn muộn khi khối u đã phát triển lớn hơn, triệu chứng chủ yếu là các dấu hiệu do khối u chèn ép các cơ quan trong lồng ngực như: Khó thở, phù mặt, đau tức ngực...

Bác sĩ chỉ định chụp X-quang hoặc CT scan ngực để phát hiện u trung thất sớm
4.Chẩn đoán và điều trị u trung thất
Ngoài việc khám lâm sàng, các bác sĩ chỉ định các xét nghiệm bao gồm: X-quang ngực. Chụp CT ngực. MRI ngực. Xạ hình thận để đánh giá chức năng thận trước điều trị và sau điều trị. Chụp PET/CT trước điều trị để chẩn đoán u nguyên phát, chẩn đoán giai đoạn bệnh; chụp sau điều trị để theo dõi đáp ứng điều trị, đánh giá tái phát và di căn; mô phỏng lập kế hoạch xạ trị.
Xét nghiệm định lượng chất chỉ điểm khối u. Sinh thiết u dưới hướng dẫn của siêu âm hoặc CT, qua soi trung thất, soi thực quản, soi phế quản, hoặc nội soi lồng ngực (lựa chọn phương pháp tùy thuộc vào vị trí giải phẫu của tổn thương)...
Về điều trị, tùy thuộc vào vị trí của các khối u mà bác sĩ sẽ quyết định phương án điều trị. Tuy nhiên, hầu hết các loại u trung thất đều cần thiết phải phẫu thuật cắt bỏ. Tùy vị trí, tính chất, kích thước, mức độ lan rộng của khối u các bác sĩ sẽ lựa chọn phương pháp phẫu thuật phù hợp như mổ mở hoặc phẫu thuật nội soi và có thể sử dụng hóa trị liệu và / hoặc xạ trị để tiêu diệt các tế bào ung thư còn lại.
Tóm lại: Đối với bệnh nhân sau khi được điều trị u trung thất cần tuân thủ chỉ định nghiêm ngặt của bác sĩ. Bệnh nhân sau khi điều trị thường được chỉ định tái khám định kỳ 3 tháng/1 lần trong 2 năm đầu và 6 đến 12 tháng trong 3 năm tiếp theo. Bệnh nhân được khám lâm sàng, xét nghiệm cận lâm sàng đánh giá tái phát và/hoặc di căn: siêu âm, chụp Xquang, chụp cắt lớp vi tính, xét nghiệm chất chỉ điểm khối u, xạ hình xương, chụp cộng hưởng từ sọ não, chụp PET/CT...
U trung thất thường không có biểu hiện và phát triển lặng lẽ, ít khi phát hiện sớm bởi các biểu hiện thường lẫn với các bệnh khác và thường chỉ phát hiện được bệnh đã ở giai đoạn muộn, khối u phát triển gây chèn ép các cơ quan lân cận. Chính vì vậy, nếu ho kéo dài, tái phát điều trị nội khoa không khỏi cần tới cơ sở khám tổng quát. Ngoài ra cần khám sức khỏe định kỳ 6 tháng/1 lần để phát hiện sớm những bất thường.
https://suckhoedoisong.vn//ho-kho-tho-kho-khe-canh-giac-voi-u-trung-that-169220309172439282.htm